|
매복 송곳니 교정 후기 남깁니다! 2026-01-03 |
|---|
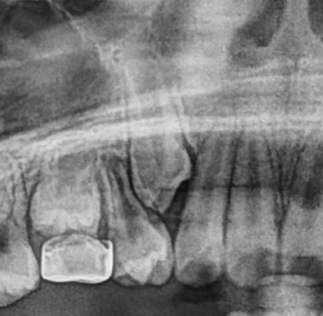
아이 유치가 빠졌는데 송곳니가 한참을 기다려도 나오지 않았어요ㅠㅠ 주변에서는 기다려보라는 말도 있었고, 안되겠다 싶어서 이미인교정치과에 가게 되었어요.
정밀검사해 보니 잇몸 안에 송곳니가 매복돼 있다고 하셨고, 치료비용도 분납할 수 있어서 부담이 없길래 바로 하기로 했었어요. 교정하는 동안 아이도 잘 따라줬고,
혹시 임플란트 해야 할까 봐 정말 많이 걱정했는데,
도움이 됐으면 해서 후기 남겨요. |
|
이전글
게시물이 없습니다.
|
|
다음글
게시물이 없습니다.
|
