|
앞니 벌어짐 부분교정, 심미와 기능을 동시에 회복하는 법 2026-02-02 |
|---|
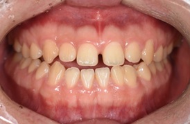
▲▲▲▲ 인비절라인에 관한 자세한 내용을 시리즈로 만나보세요, 이미지 클릭! ▲▲▲▲ 최근 내원하신 한 직장인 분께서 이런 질문을 하셨습니다. "앞니가 살짝 벌어졌는데, 전체 교정까지 해야 하나요?" 비슷한 고민으로 내원하시는 분들이 꽤 많습니다. 말할 때 공기가 새거나, 웃을 때마다 신경쓰이고 거울볼때 거슬린다고 하시더군요. 오늘은 이런 앞니 벌어짐을 부분교정으로 치료할 수 있는 경우와 그 원리를 정리해보겠습니다. 1. 왜 앞니가 벌어질까? 앞니 사이 공간은 보통 한 가지 원인만으로 생기지 않습니다. 유전적인 치아 크기 불균형, 혀를 미는 습관, 잇몸뼈 약화, 치아 이동 등 다양한 요인이 함께 작용하죠. 특히 성인에서 갑작스러운 간격이 나타났다면, 잇몸뼈 흡수나 교합 불균형이 동반된 경우가 많습니다. 단순히 외모의 문제로만 보기보다 기능적인 변화로도 보아야하는 것이죠. 2. 모든 앞니 벌어짐이 부분교정으로 가능한 건 아니다??! 앞니 벌어짐이 모두 부분교정으로 해결되진 않습니다. 치열 전체의 균형과 교합 상태를 먼저 진단해야 하죠. 부분교정으로 충분한 경우는 다음과 같습니다. 벌어진 범위가 앞니 2~4개 이내인 경우 교합에 큰 문제 없이 씹는 기능이 안정적인 경우 치아 뿌리 방향이 바르며 기울어짐이 심하지 않은 경우 과거 교정 후 유지장치 착용이 부족해 재발한 경우 이런 경우라면 3~6개월 내에 앞니 중심의 부분교정(소구치 이내 교정)으로 개선할 수 있습니다. 3. 부분교정이 어렵거나 부적합한 경우 교합 문제, 잇몸질환, 치근 각도 이상이 동반된다면 단순한 공간 폐쇄로 해결되지 않습니다. 예를 들어 윗니가 아래니를 과도하게 덮거나, 씹는 힘이 한쪽에만 치우친 상태라면 전체적인 균형 조정이 필요합니다. 이런 경우 앞니만 움직이면 교합이 더 틀어질 수 있어, 교정 범위를 넓히는 것이 장기적으로 안전합니다. 4. 투명교정을 활용한 앞니 부분교정 최근에는 투명교정 장치의 발전으로 부분교정 범위도 넓어졌습니다. 투명교정의 대표적인 예로 인비절라인과 트리오클리어를 들 수 있습니다. 둘 다 심미적인 장점이 크지만, 맞는 장치를 선택하려면 교정 전문의의 진단이 필수입니다. 케이스마다 치아 이동거리, 교합 상태, 잇몸뼈 상태가 다르기 때문입니다. 5. 실제 진료 사례에서 본 변화 직장인 A님은 상악 앞니 사이에 약 0.3mm의 공간이 있었습니다. 교합엔 문제없었고, 치아 기울어짐도 적어 투명교정 기반의 부분교정을 선택했습니다. 4개월간 인비절라인 라이트를 사용한 결과, 공간이 자연스럽게 닫히고 발음 안정성이 크게 개선되었습니다. 무엇보다 웃는 표정이 자연스러워졌다는 환자분의 말이 인상적이었죠. 교정 후에는 유지장치를 꾸준히 착용해 안정적인 결과를 가져갈 수 있었습니다. 6. 교정 후 유지의 중요성 앞니 벌어짐은 치료보다 유지가 더 중요합니다. 특히 미세한 틈은 혀의 압력이나 저작 습관만으로도 다시 열릴 수 있습니다. 유지장치는 하루 20시간 이상 착용하셔야 합니다. 정기검진으로 교합을 점검하며, 구강 위생 상태를 함께 관리하는 것이 재발 방지의 핵심입니다. ‘앞니 벌어짐 부분교정’은 심미와 기능 모두를 회복하기 위한 치료입니다. 단순히 틈을 닫는 것이 아니라, 발음, 교합, 잇몸의 안정성을 함께 고려해야 최선의 결과를 얻습니다. 이미인교정치과에서 교정전문의의 계획 아래 정확한 진단과 지속 관리가 병행된다면, 교정하길 잘했다는 뿌듯함을 느끼길 수 있을 것임을 자신합니다! 치아교정 전문 | http://치아교정.kr |
|
이전글
|
|
다음글
|
